こどもの矯正治療

診療時間
9:15〜13:00 / 14:30〜18:15水曜午後は往診のみ休診日:水曜午後、木、日、祝

お電話でのご予約03-3692-0250

WEB予約
キービジュアル

子どもの矯正は、
早期対応がおすすめ
悪くなる歯並びを整える
予防矯正」にも対応

矯正には、次のような「副次的効果」もあります

  • 正しい姿勢の獲得
  • アレルギー改善
  • アトピーの改善
  • 喘息の改善
  • 免疫機能の向上

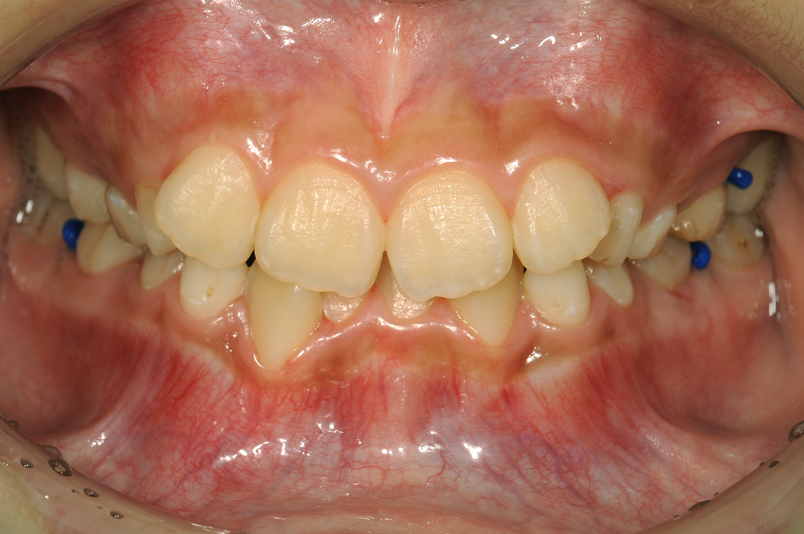
歯並びが悪くなる「根本的原因」を知っておきましょう

画像

歯並びが悪くなる原因について考えたことがあるでしょうか。原因は単一ではありませんが、現代人にとってよく見られる原因の1つが「歯の大きさ」です。

実は、昔と比べて現代人の歯は大きくなっていますが、逆に顎の大きさは小さくなっています

この要因は私たちの食生活にあります。食事の質が向上し、歯が大きく成長する一方で、柔らかい食品が増えて咀嚼回数が減少しています。その結果、顎の成長が妨げられています。

顎の小ささと大きな歯の組み合わせは、歯が適切に配置されるスペースが不足することを意味します。その結果、歯が重なり合い、不規則に生えてしまうことがあります。

子どもの「成長力」を利用する歯並び矯正

画像

ご説明した通り、歯並びが悪くなる原因の1つは小さな顎で歯が生えるスペースが不足していることです。
子どもの成長過程でこの顎の問題を矯正し、歯が適切に並ぶスペースを確保することで、歯並びの根本的な原因に対処することが可能です。
具体的には、以下となります。

  • 「噛む力」を養うための食事改善
  • 口の機能を整える筋肉トレーニング
  • 悪癖(指しゃぶり、口呼吸、頬づえ)などの矯正

このような癖を改善することで、歯並びが悪くなるリスクを軽減することができます。

当院の矯正治療

悪い癖の改善と同時に当院では、以下の装置を使用したトレーニングを通じて歯並びを整えています。ここでは、それぞれご紹介していきます。

床矯正

画像

床矯正」とは、歯の床となる顎を拡大させる治療法です。この治療では、取り外し可能な装置を使用し、数週間ごとに装置を少しずつ大きくして顎を広げていきます

これにより歯が生えそろった後でも適切なスペースが確保され、歯並びの悪化を防ぐことができます。

また、本格的な矯正治療が必要な場合でも、通常の抜歯が必要なケースを回避できることがあります。

お口周りの筋肉バランスの改善

画像

マウスピース型の「機能的顎矯正装置」を使って、口周りの筋肉を鍛えることで歯並びを改善します。主に3~10歳の子どもを対象にしています。


口周りの筋肉や舌、頬、唇からの力のバランスが崩れると、歯並びが悪化することがあります。この治療は、これらの筋肉のバランスを正常に戻し、良い癖を身につけることを目的としています。


その結果、歯が本来あるべき位置に導かれることが期待されます。

口腔筋機能療法(MFT)

画像

口腔筋機能療法」とは、口周りの筋肉を均衡良くトレーニングする治療法です。多くの親は口周りの筋肉の重要性を認識していないかもしれませんが、実際には子供の歯並びにとってこれが非常に重要です。
筋肉のバランスが崩れると、出っ歯受け口開咬の原因となることがあります。たとえば、舌が前歯を押し続けると、歯が前に出てしまい、出っ歯につながることがあります。
口腔筋機能療法では、舌や唇、頬などの筋肉を調整し、鍛えることで、バランスのとれた口腔環境を促進します。このようにすることで、歯並びの悪化を予防することができます。

また、口呼吸歯周病ドライマウスなどの改善にも寄与します。

コラムセファロの導入

画像

当院では、矯正治療に特化したレントゲン技術である「セファロ」を導入しています。この装置は、歯や顎だけでなく、頭部の正面と横からの撮影が可能です。

これにより、歯をどのように移動させるかを具体的に計測し、治療の精度を向上させることができます。

早期に矯正治療をする「メリット」とは

画像

子どものうちに矯正治療を行うことには、実はたくさんのメリットがあります

大人の場合、顎の成長は終わっており、歯並びも完成しています。そのため、歯を動かすためにはスペースを作るための抜歯や、時間がかかる治療が必要な場合があります。時には外科手術が必要となることもあります。

一方、子どもの場合は顎の骨が柔らかく、柔軟に広げることができ歯も比較的容易に動かすことができます

永久歯が生え揃う前に治療を開始し、適切なスペースを確保することで、歯並びがより良く整います。

さらに、子どものうちに矯正治療を行うことには以下のようなメリットがあります。

メリット1 笑顔が増える

画像

歯並びの悪さは思春期の子どもにとって、心の負担となることがあります。
歯並びを気にして笑うことが減ったり、引っ込み思案になったりする子どももいます。そうした状態になる前に、歯並びを整えることでその心の負担を軽減することができます。
また、出っ歯受け口歯並びの乱れを改善することで、顔立ちがすっきりと見える効果も期待できます。

メリット2 虫歯・歯周病予防になる

画像

歯並びの乱れによって、歯ブラシでのケアが難しくなることがあります。磨き残しがあると、虫歯や歯肉炎にかかりやすくなります。

矯正治療によって歯並びを整えると、ケアがしやすくなり、虫歯や歯肉炎のリスクも低減できます。また、口臭の改善にもつながります。

矯正治療についての注意事項

  • 矯正歯科治療は、公的健康保険適用外の自費(自由)診療です。
  • 矯正治療では一般的に治療期間が2〜3年、通院回数は24〜36回ほどかかります。

矯正治療に伴う一般的なリスクと副作用

矯正装置を付けた後、しばらくは違和感、不快感、痛みなどが生じることがありますが、一般的には数日〜1、2週間程度で慣れてきます。
歯の動き方には個人差があり、予想された治療期間が延びる可能性があります。
矯正装置の使用、顎間ゴムの使用、定期的な通院など、矯正治療には患者さんの協力が必要であり、これらが治療結果や治療期間に影響します。

治療中は歯の表面に矯正装置が取り付けられているため、食べ物などが溜まりやすく、歯が磨きにくくなるため、虫歯や歯周病のリスクが高まります。適切に歯みがきを行いお口の中を清潔に保ち、定期的に歯科医院で受診することが大切です。

また、歯が動くと、隠れていた虫歯が見つかることもあります。

歯を動かすことにより、歯根が吸収されて歯が短くなることや、歯肉がやせて退縮することがあります。
ごくまれに、歯と骨が癒着していて歯が動かないことがあります。
ごくまれに、歯を動かすことで神経が障害を受けて壊死することがあります。
矯正装置によって、金属アレルギーの症状が出ることがあります。
治療中にあごの関節の痛み、音が鳴る、口が開けにくいなどの症状が出ることがあります。
治療の経過によっては、当初予定していた治療計画を変更することがあります。
歯の形の修正や、噛み合わせの微調整を行うことがあります。
矯正装置を誤飲する可能性があります。
矯正装置を外す際、歯の表面に微小な亀裂が入る可能性や、被せ物の一部が破損する可能性があります。
歯の移動が終わり装置を外した後、詰め物・被せ物を作り直す必要が生じることがあります。
歯の移動が終わり装置を外した後、医師の指示通りに保定装置(リテーナー)を市移用しないと、歯並びや噛み合わせの「後戻り」が生じる可能性があります。
あごの成長発育により、噛み合わせや歯並びが変化する可能性があります。
治療後、親知らずの影響で歯並びや噛み合わせに変化が生じることがあります。また、加齢や歯周病などにより、歯並びや噛み合わせが変化することがあります。
矯正治療は、一度始めると、元の状態に戻すことは難しくなります。

初診「個別」相談へのご案内

当院では、患者さんが抱えていらっしゃるお口のお悩みや疑問・不安などにお応えする機会を設けております。どんなことでも構いませんので、私たちにお話ししていただけたらと思います。
ご興味がある方は下記からお問い合わせください。

医療法人社団 二の宮会 鈴木歯科医院 

03-3692-0250

「新小岩」駅より徒歩1分

〒124-0025
東京都葛飾区西新小岩1-2-8第1鈴亀ビル3F