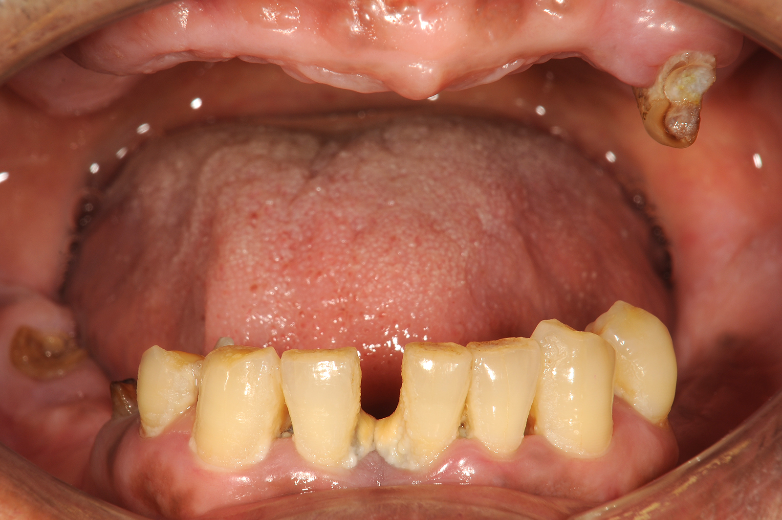
ボロボロの歯の改善

診療時間
9:15〜13:00 / 14:30〜18:15水曜午後は往診のみ休診日:水曜午後、木、日、祝

お電話でのご予約03-3692-0250

WEB予約
キービジュアル

歯がボロボロの方でも
安心してご来院ください

  • 歯医者に「マイナス」イメージを持っている
  • ボロボロ」なので歯を見られたくない
  • 治療時の「痛み」が我慢できない
  • 不必要な治療」をされるか心配

患者さん1人ひとりに
配慮した治療体制を整えています

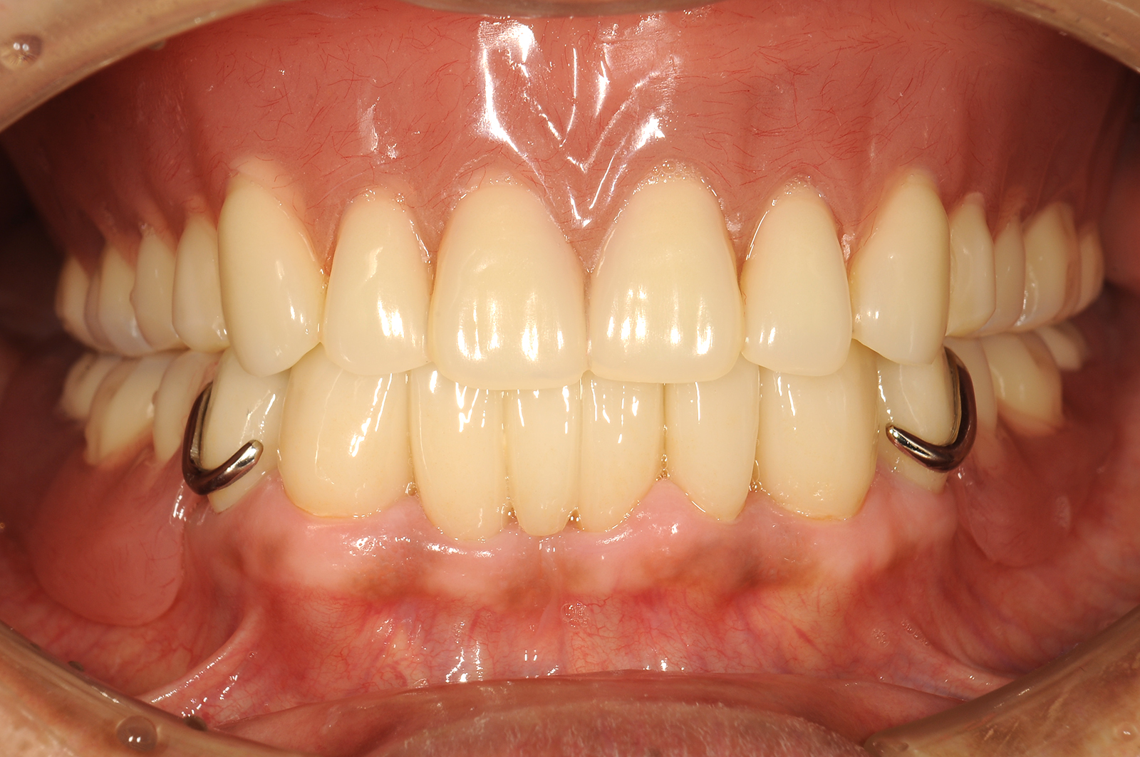
  • 治療前
  • 治療後
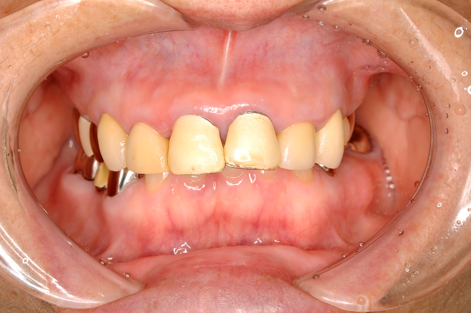
  • 治療前
  • 治療後
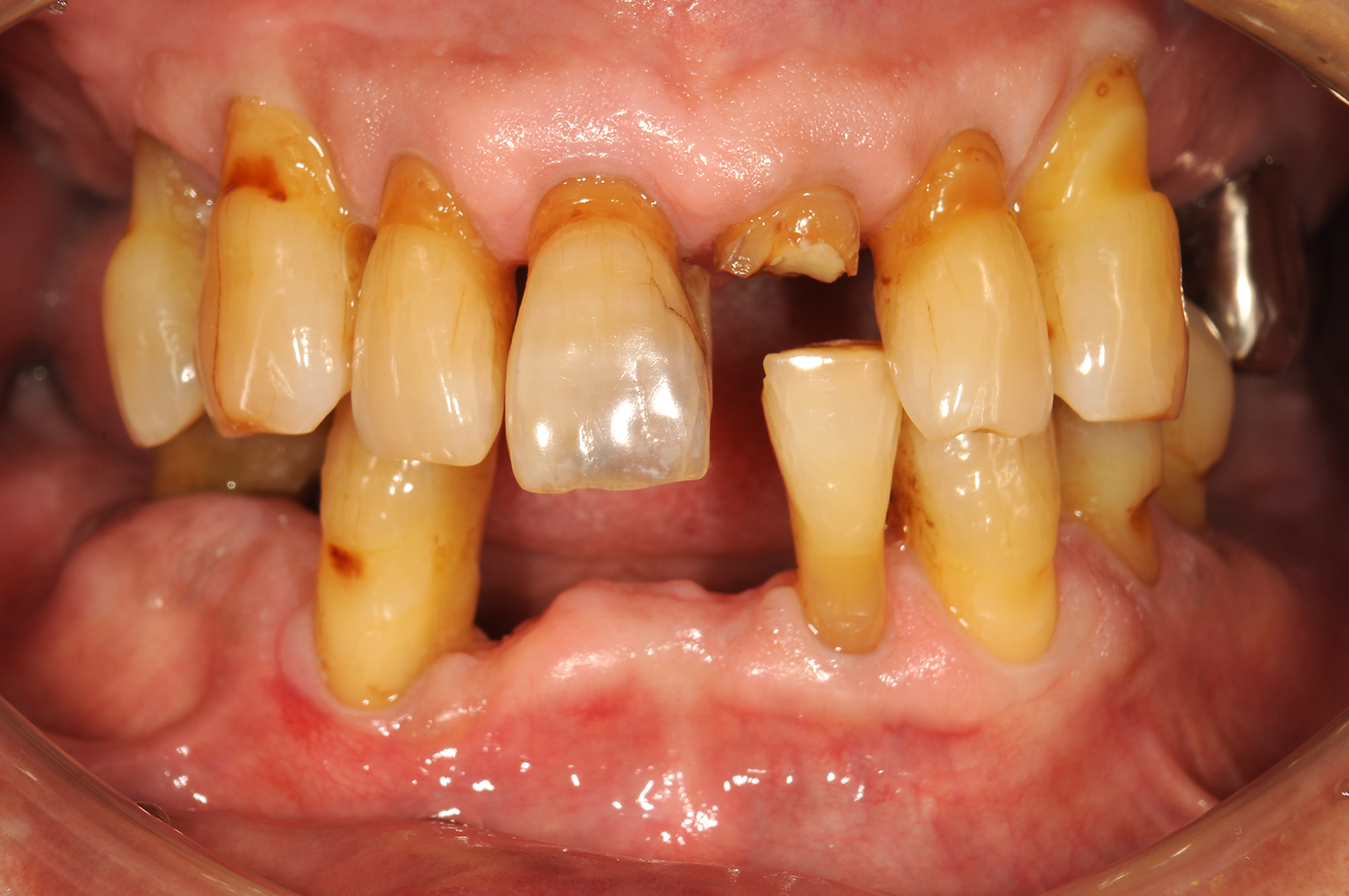
  • 治療前
  • 治療後
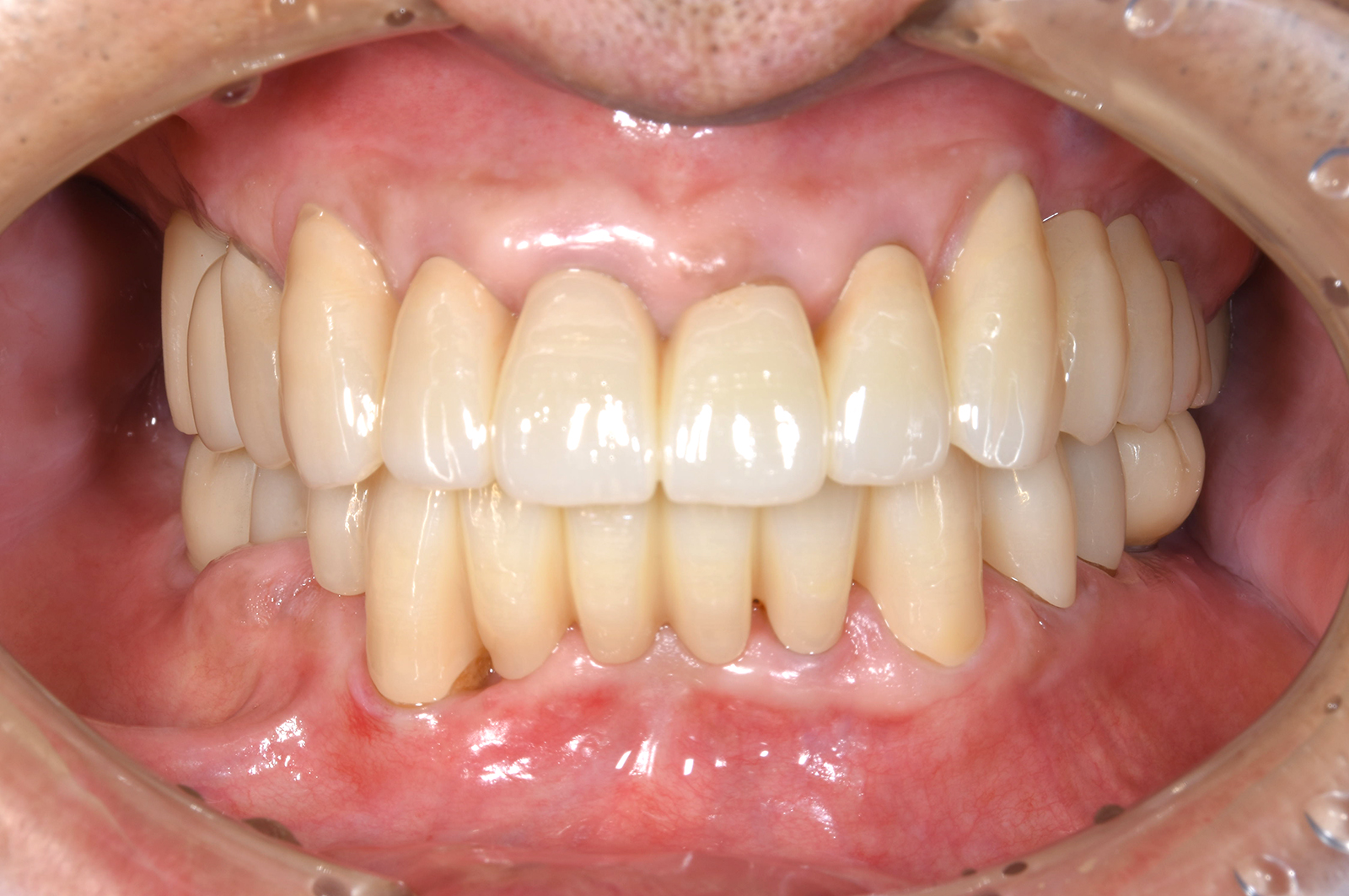
  • 治療前
  • 治療後

歯医者に来れない方の原因をすべて解消します!

画像

歯がボロボロになってしまってお困りの方、ぜひ諦めずに当院にご相談ください

過去に、以下の様なことを歯科医院で体験し、それがトラウマとなってしまったことで、なかなか治療に行けないと悩んでいませんか?

  • 虫歯の治療が痛かった
  • 先生に話を聞いてもらえなかった
  • 気づくと無駄な治療をされた

このことは、歯科医院の対応が変われば解決できるものです。当院では患者さんが、このような不満を抱えないような取り組みを行っています。

それでは、当院が行なっている「取り組み」について詳しく説明していきます。

痛みを軽減するための工夫

虫歯治療時の不快感や、痛みのある麻酔注射はできるだけ経験したくないものです。そのため当院では、患者さんの状況に合わせ、痛みを軽減させるさまざまな取り組みを行っています。

痛みに対する配慮①表面麻酔

画像

麻酔時に痛みを感じる患者さんは、意外と多いものです。そのため当院では、「表面麻酔」を使用しています。あらかじめ麻酔を施す部位に塗布することで感覚を麻痺させ、麻酔時の痛みを軽減できます。

痛みに対する配慮②痛くない部位に注射

画像

口の中には痛みを感じやすい部位と、感じにくい部位があります。当院では、経験と技術を駆使して痛みを感じにくい部位を狙って注射します。また、麻酔は3回に分けて注射し、じっくりと効かせてから治療を行います。

痛みに対する配慮③電動麻酔注射

画像

麻酔液を急激に注入してしまうと、細胞が膨張して痛みの原因となってしまいます。そこで注入速度を一定化にできる「電動麻酔注射」を利用し、痛みを軽減しています。

「同意」いただくまで治療はしません

画像

当院では、患者さんの同意なしに治療を行うことは決してありません。これは医療機関として当然の責務だと考えています。

十分な説明を行うこと」「不必要な治療をしないこと

この2つは、医療機関における基本的な原則です。

医療行為は、患者さんの体に他人が直接介入する行為であるため、治療の決定権はすべて患者さんにあります。そのため、医療に関する知識がない患者さんに対して、私たちが十分な説明を行うことが重要です。

また専門家の視点から見ると、時には不要な治療を行っているクリニックも存在しますが、そのような状況は避けなければなりません。

当院では、治療計画を作成し、その根拠を説明しながら患者さんと共に治療を進めています。

プライバシーを守ります

画像

お口の状態によっては、他の人に話を聞かれたくないという方もいらっしゃるかと思います。当院では、「個室の診療室」「カウンセリング室」「オペ室」をご用意しており、そこでご相談や治療を行うことができます。プライバシーを重視し、患者さんが安心して通院できる環境を整えています。

歯科医師からのメッセージ

画像

歯がボロボロでもためらわず、歯科医院にお越しください。今の歯がボロボロで、もう手遅れだと感じていても、歯科治療によって本当にきれいに改善できます。

歯の問題を放置することは危険で、頭痛、腰痛、肩こりなどの症状が引き起こされることもあり、口の中だけに留まらない影響を及ぼします。

歯がボロボロの場合、歯周病の可能性も考えられます。歯周病は以下のようなさまざまな病気と関連しています。

  • 糖尿病
  • 早産/低体重児出産
  • 肥満
  • 心筋梗塞
  • 脳梗塞

したがって、ボロボロの歯を放置するのは非常に危険です。

また、歯の問題は患者さんの心の健康にも関わってきます。歯が原因で塞ぎがちになったり、人と会うのが嫌になったりしていませんか?

当院で治療を受け、歯の悩みから解放されませんか。

 

まずは、当院の雰囲気や担当医の感じを知るために、ぜひ一度ご来院ください。

初診「個別」相談へのご案内

当院では、患者さんが抱えていらっしゃるお口のお悩みや疑問・不安などにお応えする機会を設けております。どんなことでも構いませんので、私たちにお話ししていただけたらと思います。
ご興味がある方は下記からお問い合わせください。

医療法人社団 二の宮会 鈴木歯科医院 

03-3692-0250

「新小岩」駅より徒歩1分

〒124-0025
東京都葛飾区西新小岩1-2-8第1鈴亀ビル3F