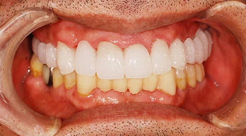
白い詰め物/被せ物

診療時間
9:15〜13:00 / 14:30〜18:15水曜午後は往診のみ休診日:水曜午後、木、日、祝

お電話でのご予約03-3692-0250

WEB予約
キービジュアル

しい歯を提供します

画像
  • 銀歯を白くしたい方
  • 芸能人のような白い歯を手に入れたい方
  • 天然歯と馴染む歯を手に入れたい方

注目!最短1日で白い歯が入ることも

以前は、セラミックの被せ物などは、歯科技工士が時間をかけて手作りしていました。しかし、近年の技術の進展により、機械が全自動で製作することが可能になりました。これが「CREC(セレック)システム」です。

画像

このシステムの最大の特徴は、「最短1日で被せ物を作れる」という点です。午前中に来院していただければ、その日の夕方には装着が完了します。
※症例によっては、1日では対応できないこともあります。

このような方に特におすすめです。

数日後に重要なイベントがあり、それまでに綺麗な歯を手に入れたい方
忙しくて来院回数を減らしたい方

さらに、歯科技工士による手作りセラミックの被せ物と比べると審美性は劣りますが、費用も抑えられるというメリットがあります。お気軽にお問い合わせください。

当院のセラミック治療の「コンセプト」

当院では、下記をコンセプトに患者さんのためのセラミック治療を行っています。

  • 歯の「美しさ」を持続させる
  • 患者さんの「理想」に限りなく近づける

理論に基づいた「美」の創造

セラミック治療は、白く美しいセラミック製の詰め物・被せ物を用いて、美しいお口元を作り上げる治療です。

「美しいお口元」といっても、決して担当者の好みや主観で作っていくわけではありません。次のような理論に基づき、客観的にも美しいとされるお口元を作っていきます。

Point 1唇と歯の関係(Lip to Tooth Relationship)

画像

口を開いて笑った時に、下唇のアーチと歯並びのアーチを一致させると口元の美しさが際立ちます。

著書:山崎長郎 クインテッセンス出版:エステティック クラシフィケーションズより引用

Point 2ゴールデンプロポーション(Golden Propotion

画像

前歯には、美しく見える「比率」が存在します。その比率は、「中切歯(1.618)」:「側切歯(1)」:「犬歯(0.618)」となります。この比率に整えることで、どなたが見ても美しい前歯になります。

Point 3正中線と歯並びのバランス(Median line)

画像

顔の真ん中のラインを「正中線」といいます。上の前歯の真ん中が、正中線上に来るように歯並びを整えることにより、顔と歯のバランスが良く見えるようになります。

「マイクロスコープ/高倍率ルーペ」を使用

  • 画像

    マイクロスコープ

  • 画像

    高倍率ルーペ

美しい歯を手に入れたとしても、その審美性がすぐに失われてしまうのでは意味がありません。当院では、審美性を持続させるために「マイクロスコープ/高倍率ルーペ」を活用した治療を行っています。

マイクロスコープ/高倍率ルーペは、肉眼では見えない微細な部位を数倍から十数倍に拡大して観察できる装置です。これにより、通常では見逃してしまうような詳細な治療が可能となります。

例えば、被せ物を装着する際に天然歯との間に微細な隙間が生じることがあります。この隙間から虫歯菌が侵入し、被せ物の下で虫歯が進行するリスクがありますが、マイクロスコープ/高倍率ルーペを使用することで、このような問題を事前に確認し、適切に対処することができます。

治療を左右する「仕上がりイメージの共有」

画像

審美治療において大切なのは患者さんの理想にいかに近づけることができるか、「仕上がりイメージの共有」から始めていきます。
どれだけ素晴らしい治療を行ったとしても、患者さんが「イメージと違う」と思えば、それは残念ながら治療の失敗です。当院では、そうした事態を避けるために、各工程で患者さんとイメージのすり合わせを行っています。
審美治療において重要なのは、患者さんの理想にできるだけ近づけることです。どれほど優れた治療を行っても、患者さんが「予想と異なる」と感じるならば、それも治療の失敗です。
当院では、こうした問題を回避するために、各段階で患者さんとのコミュニケーションを重視しています。

ていねいな「カウンセリング」を実施

画像

まずは患者さんの理想をていねいにお聞きします。実際の症例模型を示しながら、具体的なイメージを共有していきます。雑誌の切り抜きなどがあれば、それに基づいて治療の具体的な方法についてもご説明します。

「セットアップ模型」での確認

画像

カウンセリング後、患者さんの歯型を取得し、模型を作成します。この模型を使用して、治療後のシミュレーションを行います。この模型は「セットアップ模型」と呼ばれ、実際に患者さんにもご覧いただきながら、さらにイメージを確認・調整していきます。
※ケースによっては行わない場合もあります。

最終確認のために「仮歯」を装着

画像

最終段階として仮の歯を装着していただき、気になる点がないか確認していただきます。このとき確認する項目は以下となります。それぞれ問題があるときは、必要に応じて改善を行っていきます。

  • イメージ通りの「見た目」か
  • 「噛み合わせ」は問題ないか
  • しっかり「噛める」か
  • 「耐久性」は問題ないか

患者さんに納得いただいた後、さらに調整を行い、最終の被せ物を完成させていきます。

コラム苦しい型取りは必要ありません!

画像

被せ物の製作には、お口の型取りが必要です。そのために従来の方法では、お口に粘土のような「印象材を入れて型取りしていました。これは患者さんにとって負担が大きく、特に嘔吐反射が強い方にとっては苦痛でした。

当院ではこの問題を解決するために、「光学印象」による型取りを行っています。これはペン型のカメラをお口の中に入れてスキャンするだけでお口の型を取得できる装置です。光学印象による型取りは従来の方法と比べて精度が高く、より精密な被せ物を作成することが可能です。

「銀歯」が引き起こす金属アレルギーの改善

画像

金属アレルギー」といえば、ネックレスなどの金属製アクセサリーによるものがよく知られていますが、実は歯科治療も金属アレルギーの原因となることがあります

例えば、銀歯の詰め物や被せ物が口内から体に悪影響を与える場合があります。

  • 頻繁に口内炎ができる
  • アトピー性皮膚炎がなかなか治らない

このような症状がある方は、歯科治療による金属アレルギーの可能性があります。鈴木歯科医院にご相談ください。

どの金属が原因かを調べる検査も可能です。
体質に合わない金属が使われている場合は、セラミックなど非金属系の材料に置き換える治療を行います。

初診「個別」相談へのご案内

当院では、患者さんが抱えていらっしゃるお口のお悩みや疑問・不安などにお応えする機会を設けております。どんなことでも構いませんので、私たちにお話ししていただけたらと思います。
ご興味がある方は下記からお問い合わせください。

医療法人社団 二の宮会 鈴木歯科医院 

03-3692-0250

「新小岩」駅より徒歩1分

〒124-0025
東京都葛飾区西新小岩1-2-8第1鈴亀ビル3F